Inlays and Onlays


Inlays and Onlays in Atlanta, GA
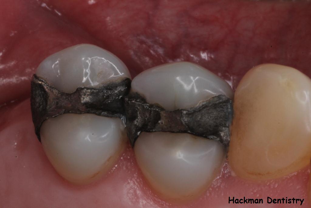
Partial crowns are a common term for inlays and onlays. They attach the inlay or onlay using the preexisting tooth as a basis. This strengthens the tooth, improves its shape, and guards against further harm. When there is no damage to the tooth’s cusps and an inlay can be fitted directly onto the tooth, an inlay is used. When the damage is a little more severe, an inlay is applied.
Renew your smile with Inlays and Onlays at Hackman Dentistry, Atlanta, GA. Book your appointment now for a confident, radiant grin.
During the Process, the Tooth's Decaying Portion is Initially Removed
The tooth is then captured in a mold and transported to a dental lab. They make a porcelain, gold, or composite resin repair. A temporary inlay or onlay will be applied to the tooth for the two to three weeks that it will take to create the restoration. The inlay or onlay will be positioned in your mouth and cemented in place during your subsequent appointment.