Dental Implant

Quality Dental Implant Service in Atlanta, GA

Quality Dental Implant Service in Sandy Springs, GA

Dental implants are a long-lasting and attractive way to restore lost or removed teeth. Because no other teeth need to be changed in order to put the new tooth, they are superior than alternatives like bridges.

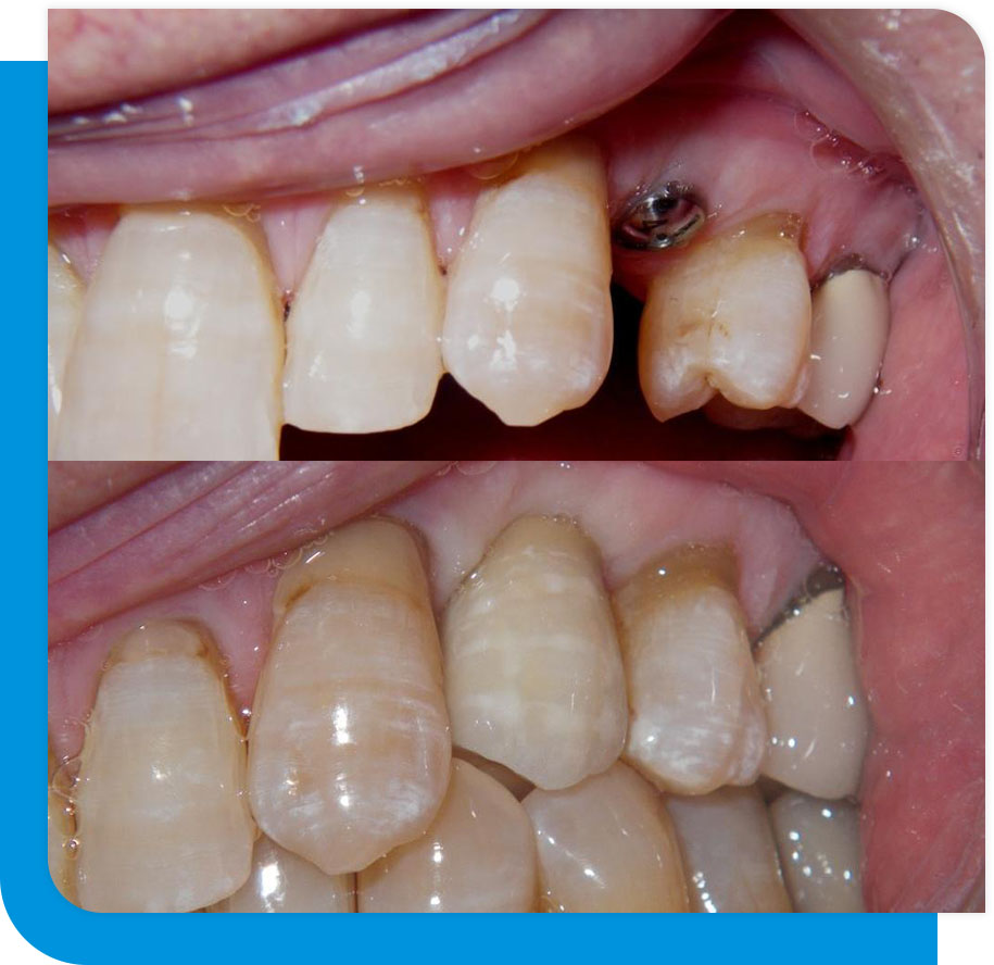
Over the course of a few months, the full implant procedure is carried out. Installing the implant itself, which involves driving a screw into the jaw bone, is the first step in the procedure. In order to put the implant, a gum incision must be made. If necessary, multiple implants may be inserted simultaneously. The gums are stitched once the implants have been inserted.

Expert Dental Implant Services in Sandy Springs, GA

The osseointegration process, which takes between 3-6 months to complete, causes the jaw bone to surround the implant as it heals.

You can have temporary crowns fitted so you can eat and speak normally during this healing period and keep a pleasing look for your smile.

It’s time to attach an abutment to the implant after it has healed. Your new tooth’s abutment acts as its foundation. In order to produce your permanent repair, an impression of the abutment is obtained after it has been positioned. The crown will then be made using this in our lab. 

You can come back to the office to permanently affix the restoration once the work is finished. After a few period of getting acclimated to the implant, your smile will appear just like it did before, and it will feel exactly like one of your natural teeth.

Rediscover your confident smile with Dental Implant Services at Hackman Dentistry, Sandy Springs, GA. Schedule your appointment now for a lasting transformation.

Quality Dental Implant Service in Atlanta, GA
Logo

Dental Implant FAQ’s

Dental implants are simply titanium cylinders that are anchored firmly in the jawbone. The replacement teeth are supported by the implants. They are successful and enduring.
Implants are inexpensive and long-lasting. Once the implants are in, you may forget about them, unlike dentures. There is no need to tolerate loose dentures or missing teeth when you take into account how simple and affordable implants are.
The next best alternative to your teeth is provided by dental implants. They mimic your real teeth in appearance and feel. They make your mouth and grin look better. You are not limited to a specific diet when you have dental implants; you can chew gum and eat corn on the cob. Additionally, dental implants lessen the bone atrophy and shrinking that come with missing teeth.
Dental implants can be inserted by a periodontist, oral surgeon, or implantologist. Once the implants are finished, a restorative dentist finishes the crowns.
No. To make the process painless, local anesthetic is given. You might be a little sore the day after surgery, but the pain and discomfort are not too bad.
Scroll to Top